Blog

Saturday  /  June 15, 2022

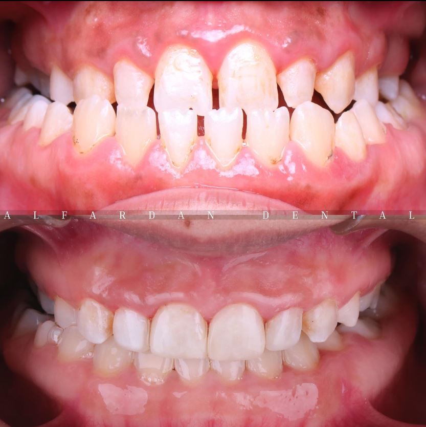
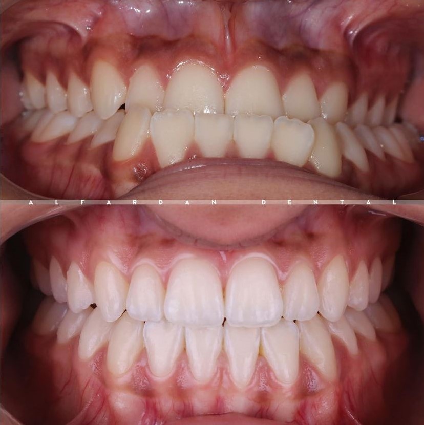
A case of sever crowding with traumatic bite to the palate

Admin  /  Blog  /  23 Comments

A case of sever crowding with traumatic bite to the palate , treated by Dr.Abbas Alfardan ( the smile stylist)Creating beautiful smiles is our aim at alfardan.

Saturday  /  June 15, 2013

Ruvan’s Mother’s Testimonial

Admin  /  Blog  /  23 Comments

We love our patients’ feedback ! 🤍 Meet Ninette, Ruvan’s Mother. Ruvan had a dento-skeletal problem that Dr Abbas Al-Fardan managed. We are our happiest when our patients are satisfied!

Saturday  /  June 15, 2013

7 years old patient Attended the clinic with severe class 2

Admin  /  Blog  /  23 Comments

7 years old patient Attended the clinic with severe class 2 Skeletal and dental relation with retrusive mandible , 11mm over-jet and supernumerary tooth between upper central incisors

Saturday  /  June 15, 2013

Should I remove my Wisdom Tooth?

Admin  /  Blog  /  23 Comments

People call them wisdom teeth, while dentists call them third molars. They are the furthest teeth inside the mouth and the latest to erupt. Wisdom teeth are associated with the most diverse variability as well as the most prominent interest from the public... WHY?!

Saturday  /  June 15, 2013

Lasers revolutionizing dentistry!

Admin  /  Blog  /  23 Comments

Dental lasers are currently receiving ravishing reviews from scientific & popular journals alike. There are new dental applications introduced every month, making it a hot topic in both medical & dental fields showing astounding outcomes that public should seek to benefit from.

Saturday  /  June 15, 2013

Invisalign or Braces…?

Admin  /  Blog  /  23 Comments

Both braces and Invisalign were designed to align teeth while improving your smile and oral health. Braces were in use by patients for almost 100 years, while patients first began using Invisalign in the year 2000. Therefore, Invisalign does not have the same history as braces, yet.

Saturday  /  June 15, 2013

Case presented as Class lll skeletal and dental malocclusion

Admin  /  Blog  /  23 Comments

Case presented as Class lll skeletal and dental malocclusion, prominent lower jaw with anterior teeth cross bite as well as lower center line shift to the left. Step 1 : Correction of malocclusion Class lll to class l - using carrier motion lll. Expansion of the upper jaw - using rapid maxillary expansion. Step 2 : Fixing the alignment and position of teeth - using bond up SLX bracket system. The magical transformation was done by only orthodontic treatment without the need of surgical intervention. Credits goes for orthodontic work @drabbasalfardan.

Saturday  /  June 15, 2013

Class3 malocclusion , spaces between upper and lower teeth

Admin  /  Blog  /  23 Comments

Case presented as Class3 malocclusion , spaces between upper and lower teeth , short and small sized clinical crown . Step 1 : Correction of malocclusion Class lll Class l Using carrier motion lll Step 2 : Fixing the alignment and position of teeth Using Bound up SLX bracket system Step 3: Increasing the length of the clinical crown Using soft tissue laser Step 4 : Removing the orthodontic brackets Shaping of the teeth using composite restorations Combined orthodontic and restorative work Credit goes for orthodontic work @drabbasalfardan Restorative work @pinkytolani

Saturday  /  June 15, 2013

Zainab's beautiful smile styled by the usual successful team

Admin  /  blog  /  23 Comments

We love happy patients▫️ We are happy that we designed your beautiful smile with the cooperation of Dr. Abbas Al-Fardan and Dr. Ghassan Daif.